眼球長毛
眼球長毛 - 男眼球囊腫 還長毛
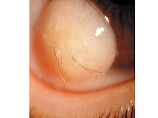
伊朗出現罕見眼球長毛病例。1名19歲男子右眼球長了1顆白色囊胞,不 但越長越大還冒出毛髮,雖然不會痛,但眨眼時很不舒服也影響視力,經診斷為「眼輪部皮樣囊腫」須以手術摘除。
眼球長毛 - 發生機率萬分之1
《新英格蘭醫學期刊》前天報導,患者稱一出生時就有這顆囊胞,且隨著年 紀逐漸擴大,就醫時直徑將近0.6公分,已影響生活,他正常的左眼視力1.0,但右眼視力僅0.3,原先有醫生診斷為肉芽腫、眼翳贅肉,但只 有眼輪部皮樣囊腫(Limbal dermoid)會長出毛髮。
醫生後來摘除這顆囊腫並移植層狀角膜,但患者右眼視力恢復並不明顯。此 眼疾的發生機率約為1萬分之1,起因為胚胎發育時外胚層組織殘餘在皮膚組織下,可能會冒出毛髮、軟骨、汗腺,甚至牙齒,也可能會長在身體任何 部位。
眼球長毛

